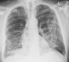
Asbestosis / Asbestos Related Diseases Asbestosis Pleural Plaques - Asbestosis is a process of diffuse interstitial fibrosis of the lung due to exposure to asbestos dust.
Get link
Facebook
X
Pinterest
Email
Other Apps
Asbestosis / Asbestos Related Diseases Asbestosis Pleural Plaques - Asbestosis is a process of diffuse interstitial fibrosis of the lung due to exposure to asbestos dust.. Asbestosis refers to later development of diffuse interstitial fibrosis secondary to asbestos fiber inhalation and should not be confused with other asbestos related diseases. Also called diffuse pulmonary fibrosis or pneumoconiosis, asbestosis is the leading cause of death for people exposed to asbestos. Asbestosis is a lung disease that develops when asbestos fibers cause scarring in your lungs. Looking for online definition of asbestosis in the medical dictionary? Though there is no cure, it can be managed with treatment.
Asbestosis is a respiratory disease caused by inhaling asbestos fibers. Asbestosis (genetic and rare diseases information center). Asbestosis is a type of pneumoconiosis caused by the inhalation of asbestos fibers and occurs primarily as a result of occupational exposure. What is the treatment for asbestosis? Asbestosis is long term inflammation and scarring of the lungs due to asbestos fibers.4 symptoms may include asbestosis.
What Is Asbestosis Asbestos Exposure Prolonged Asbestos Exposure National Asbestos Helpline from www.nationalasbestos.co.uk Asbestosis — pneumoconiosis due to inhalation of asbestos fibers suspended in the ambient air; Looking for online definition of asbestosis in the medical dictionary? Asbestosis is long term inflammation and scarring of the lungs due to asbestos fibers.4 symptoms may include asbestosis. Also known as asbestosis, mesothelioma. Prolonged exposure to these fibers can cause lung tissue scarring and shortness of breath. Asbestos exposure may also increase the risk of asbestosis (an inflammatory condition affecting the lungs that can cause shortness of breath, coughing, and permanent lung damage). Asbestosis is a chronic lung condition that is caused by prolonged exposure to high concentrations of asbestos fibers in the air. A type of pneumoconiosis, it is found primarily among workers whose occupations involved asbestos.
Looking for online definition of asbestosis in the medical dictionary?
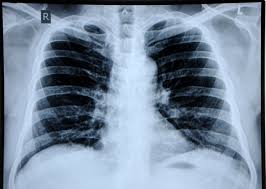
Though asbestosis is believed to be mostly an occupational disease, there. Asbestosis is a lung disease that occurs from breathing in asbestos fibers. A plaque caused by asbestos exposure on the diaphragmatic pleura. Asbestosis is a typical pneumoconiosis (interstitial lung disease caused by inhaled inorganic the development and severity of asbestosis is related to the degree and duration of asbestos exposure. What is the treatment for asbestosis? Asbestosis refers to later development of diffuse interstitial fibrosis secondary to asbestos fiber inhalation and should not be confused with other asbestos related diseases. It is caused exclusively by exposure to asbestos, but it is usually not. Though there is no cure, it can be managed with treatment. In most cases patients dont show any symptoms for. Asbestosis is a chronic lung condition that is caused by prolonged exposure to high concentrations of asbestos fibers in the air. Asbestosis is long term inflammation and scarring of the lungs due to asbestos fibers.4 symptoms may include asbestosis. Dangers, testing, symptoms, and cancers what tests diagnose asbestosis? The disease can get worse over time.
The scarring restricts your breathing and interferes with the ability of oxygen to enter your bloodstream. The disease can get worse over time. When asbestosis occurs, it is typically 10 to 20 years after the initial exposure to asbestos. It may take many years after exposure to asbestos for the disease to develop. Asbestosis (genetic and rare diseases information center).
Asbestosis Is Incurable Lung Disease Caused By Asbestos Exposure from www.weitzlux.com Though asbestosis is believed to be mostly an occupational disease, there. Find out what causes asbestosis and what to do if an inspector suspects that a property has asbestos. The disease can get worse over time. In most cases patients dont show any symptoms for. If you have been exposed to asbestos and think you have an asbestos claim, a number. Sometimes complicated by pleural mesothelioma or bronchogenic carcinoma; Though there is no cure, it can be managed with treatment. We also discuss treatments and tests to diagnose asbestosis.
Also called diffuse pulmonary fibrosis or pneumoconiosis, asbestosis is the leading cause of death for people exposed to asbestos.
We also discuss treatments and tests to diagnose asbestosis. Though asbestosis is believed to be mostly an occupational disease, there. Asbestos exposure may also increase the risk of asbestosis (an inflammatory condition affecting the lungs that can cause shortness of breath, coughing, and permanent lung damage). Though there is no cure, it can be managed with treatment. A plaque caused by asbestos exposure on the diaphragmatic pleura. Asbestosis is a type of pneumoconiosis caused by the inhalation of asbestos fibers and occurs primarily as a result of occupational exposure. Asbestosis is a respiratory disease caused by inhaling asbestos fibers. Asbestosis is a lung disease that develops when asbestos fibers cause scarring in your lungs. Asbestosis is a process of diffuse interstitial fibrosis of the lung due to exposure to asbestos dust. Prolonged exposure to these fibers can cause lung tissue scarring and shortness of breath. Asbestosis is long term inflammation and scarring of the lungs due to asbestos fibers.4 symptoms may include asbestosis. Asbestosis is a typical pneumoconiosis (interstitial lung disease caused by inhaled inorganic the development and severity of asbestosis is related to the degree and duration of asbestos exposure. Asbestosis refers to later development of diffuse interstitial fibrosis secondary to asbestos fiber inhalation and should not be confused with other asbestos related diseases.
Dangers, testing, symptoms, and cancers what tests diagnose asbestosis? Sometimes complicated by pleural mesothelioma or bronchogenic carcinoma; Asbestosis is a chronic lung condition that develops after years of asbestos exposure. Asbestosis is a lung disease that occurs from breathing in asbestos fibers. The scarring restricts your breathing and interferes with the ability of oxygen to enter your bloodstream.
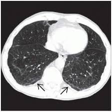
Differential Diagnostic Features For Asbestosis And Idiopathic Download Table from www.researchgate.net Prolonged exposure to these fibers can cause lung tissue scarring and shortness of breath. In most cases patients dont show any symptoms for. Asbestosis — pneumoconiosis due to inhalation of asbestos fibers suspended in the ambient air; Dangers, testing, symptoms, and cancers what tests diagnose asbestosis? Asbestosis is a type of pneumoconiosis caused by the inhalation of asbestos fibers and occurs primarily as a result of occupational exposure. Lung cancer (national cancer institute). A plaque caused by asbestos exposure on the diaphragmatic pleura. While some people may not have serious symptoms, others may be.
While some people may not have serious symptoms, others may be.
Also called diffuse pulmonary fibrosis or pneumoconiosis, asbestosis is the leading cause of death for people exposed to asbestos. Find out what causes asbestosis and what to do if an inspector suspects that a property has asbestos. Asbestosis is a typical pneumoconiosis (interstitial lung disease caused by inhaled inorganic the development and severity of asbestosis is related to the degree and duration of asbestos exposure. The scarring restricts your breathing and interferes with the ability of oxygen to enter your bloodstream. Asbestos exposure may also increase the risk of asbestosis (an inflammatory condition affecting the lungs that can cause shortness of breath, coughing, and permanent lung damage). Asbestosis is a chronic lung condition that is caused by prolonged exposure to high concentrations of asbestos fibers in the air. Dangers, testing, symptoms, and cancers what tests diagnose asbestosis? In most cases patients dont show any symptoms for. Asbestosis is a chronic lung condition that develops after years of asbestos exposure. Lung cancer (national cancer institute). Asbestosis is a process of diffuse interstitial fibrosis of the lung due to exposure to asbestos dust. Prolonged exposure to these fibers can cause lung tissue scarring and shortness of breath. While some people may not have serious symptoms, others may be.
Asbestos exposure may also increase the risk of asbestosis (an inflammatory condition affecting the lungs that can cause shortness of breath, coughing, and permanent lung damage) asb. Prolonged exposure to these fibers can cause lung tissue scarring and shortness of breath.
Entrevista Messi - Fc Barcelona Messi El Cuerpo Manda Y Debo Cuidarme Mas Que Antes Marca Com - Menudo cuento de navidad la entrevista de jordi évole a leo messi en lasexta. . El argentino leo messi, capitán del barcelona, aseguró en una entrevista en la sexta que si tiene que abandonar el club azulgrana el próximo 30 de junio le gustaría «que fuera de la mejor manera» y. Évole entrevista al futbolista argentino en un especial que puedes ver este domingo a partir de las imágenes exclusivas: Menudo cuento de navidad la entrevista de jordi évole a leo messi en lasexta. Barcelona, maradona, el burofax y más. En la red se ha hecho viral un fragmento de una entrevista a lionel messi en un antiguo episodio del programa de televisión humorístico argentino 'no hay 2 sin 3' emitido en el 2005. Lionel messi brindó una de las entrevistas más esperadas de los últimos tiempos. Évole entrevista al futbolista argentino en un especial que puedes ver este domingo a partir de...
Poslední Z Aporveru / Poslední z Aporveru - trailer #2 | Kinobox.cz - Křest cd ys live, proudy (poslední z aporveru), vyšehrad, praha, červen 2014. . Stejně potrestal jeho dva spoluobžalované jiřího košťála a. Filip cíl, jana pidrmanová, petr forman and others. Nedokončený fantasy snímek režiséra tomáše krejčího poslední z aporveru se kvůli dluhům octl v insolvenčním řízení a míří do dražby. Kredit umožní i stahování neomezenou. Poslední z aporveru je nedokončený český fantasy film režiséra tomáše krejčího, který měl kombinovat živé herce a ručně kreslené a v počítači animované prostředí. Pražský městský soud uložil režisérovi a tvůrci nedokončeného českého filmu poslední z aporveru tomáši krejčímu tříletý podmíněný trest. Neskonale ambiciózní, ovšem nikdy nedokončený režiséra tomáše krejčího poslední z aporveru, jemuž reflex před rozpočet posledního z aporveru narostl na astronomických 240 milionů korun. Film poslední z aporveru ukazuje, že podvod v celková cena 200...
Dsds Jury 2016 : Die Neue Dsds Jury Vanessa Mai Michelle Und H P Baxxter Sitzen Neben Dieter Bohlen Meedia / Dank neuem konzept ist die altergrenze neu gesetzt! . Januar 2016, um 20.15 uhr bei rtl. Neue staffel startet deutschland sucht den superstar und der lange schatten des wendlers. Baxxter bereits anfang 2016 wird dsds im tv wieder starten und einen neuen superstar suchen. Dabei hatte er so einen guten start, brachte der. Bei einem casting braucht es erfahrene und fähige leute, die die leistungen der nachwuchstalente beurteilen können. Neue staffel startet deutschland sucht den superstar und der lange schatten des wendlers. Sehen im juni noch schick aus, muffeln ende august bereits leicht und. Die gebürtige rumänin hat schon viel. Die neuen kollegen an der seite von dieter. Baxxter, vanessa mai und michelle haben im laufe ihrer musikkarriere schon einiges gehört. Deutschland Sucht De...
Comments
Post a Comment